International Surgery Case Reports
OPEN ACCESS | Volume 7 - Issue 1 - 2025
ISSN No: 2836-2845 | Journal DOI: 10.61148/2836-2845/ISCR
Maria Júlia Assis Vicentin Calori1*, Afonso Celso de Moraes Manzano1, Gabriel Conceição Brito1, Luciana Asprino2, Márcio de Moraes2
1Post graduate Program in Oral and Maxillofacial Surgery, Faculdade de Odontologia de Piracicaba, Universidade Estadual de Campinas – UNICAMP – Piracicaba (SP), Brazil.
2Associate Professor of the Division of Oral and Maxillofacial Surgery at Faculdade de Odontologia de Piracicaba, Universidade Estadual de Campinas – UNICAMP –Piracicaba (SP), Brazil
*Corresponding author: Maria Júlia Assis Vicentin Calori, Post Graduate Program in Oral and Maxillofacial Surgery, Faculdade de Odontologia de Piracicaba, Universidade Estadual de Campinas – UNICAMP – Av. Limeira, 901 - Areião, Piracicaba - SP, 13414-903.
Received: September 05, 2025 | Accepted: September 15, 2025 | Published: September 20, 2025
Citation: Maria Júlia Assis Vicentin Calori, Afonso Celso de Moraes Manzano, Gabriel Conceição Brito, Luciana Asprino, Márcio de Moraes. (2025) “Sjogren's Disease: Report of A Rare Clinical Case in A Male Patient and Literature Review.”, International Surgery Case Reports, 7(2); DOI: 10.61148/2836-2845/ISCR/0104.
Copyright: © 2025. Maria Júlia Assis Vicentin Calori. This is an open access article distributed under the Creative Commons Attribution License, which permits unrestricted use, distribution, and reproduction in any medium, provided the original work is properly cited.
Introduction: Sjögren’s Disease (SJD) is a chronic inflammatory autoimmune disease, characterized by symptoms of dryness due to lymphocytic infiltration of the exocrine glands, rare in male patients. Aim: To report the clinical case of a male patient diagnosed with Sjogren's Disease, associated with a literature review. Materials and methods: Male patient, 37 years old, sought hospital medical care presenting with edema and pain in the parotid region that had lasted 10 days. An imaging test revealed enlarged parotid glands, antinuclear factor (ANA) test = reagent 1/640, Ro/SSA = 113.0 (<10.0). On skull MRI, countless microcysts were observed in both parotid glands, suggestive of SS. For the literature review, a search was carried out in the Pubmed database, which resulted in 83 articles and, after complete reading, 53 articles were included. Of the 53 included, the search revealed 28.162 cases reported in the literature of patients diagnosed with SS, during the period from 2018 to 2023, of which 24.170 were female and only 3.992 were male, resulting in a ratio of 1:6. Conclusion: Clinical and laboratory evaluations are of great importance in the diagnosis of SS, especially in atypical cases, often associated with chronic inflammation that can lead to infections. The disease in male patients is rare. There is a search in the literature for effective treatment, however, standard treatment only includes symptom relief with salivary and tear substitutes.
Sjogren's Syndrome; Autoimmune Diseases; Keratoconjunctivitis Sicca; Xerostomia
Sjögren’s disease (SjD) is a chronic inflammatory autoimmune disease, being the 2nd most common chronic autoimmune rheumatic disease 1, with multifactorial pathogenesis and multisystemic manifestations2, characterized by symptoms of dryness due to lymphocytic infiltration of the exocrine glands 3, mainly affecting the lacrimal and salivary glands, causing dry eyes and mouth. Due to impaired function of exocrine glands, dryness can extend to other parts of the body, such as the skin, lungs, and vaginal tract 2.
Patient morbidity arises not only from xerostomia and keratoconjunctivitis sicca, classic symptoms4, but also from extraglandular manifestations, such as musculoskeletal problems, small vessel vasculitis, pulmonary disease, renal disease, neurological disease and fatigue, anxiety, depression 5 and including the development of non-Hodgkin B-cell lymphomas 1. It can produce bilateral salivary and lacrimal increase, with microscopic characteristics of benign lymphoepithelial lesion. However, not all benign lymphoepithelial lesions are necessarily associated with the clinical disease complex of Sjögren’s disease 6
SjD occurs as a primary condition (pSS), with only sicca syndrome and no other autoimmune disorders present, or as a complication in individuals with other inflammatory autoimmune diseases, including rheumatoid arthritis (RA) and systemic lupus erythematosus (SLE), where it is called secondary Sjögren’s disease 2, 6. pSS has a general incidence of approximately 0.5 - 3% of the population, with an incidence of 2 in every 1,000 Brazilians in Brazil, representing 4 to 5 cases per 100,000 inhabitants per year according to the Brazilian Society of Rheumatology, 20217. It can occur at any age, but is more common between the ages of 40 and 60 and is predominantly female 1, 8, with women being 9 times more likely to suffer from SS than than men 9,6.
The objective of this article was to report the rare case of a patient diagnosed with Sjögren’s Disease, as well as present a literature review of similar cases found in the literature, comparing the current prevalence of males in relation to females.
Methods
Clinical Case Report
Male patient, 37 years old, caucasian, sought hospital medical care presenting with increased volume in the lower third of the face on the left and pain in the bilateral parotid region, but with emphasis on the left side, which had been evolving for 10 days. The patient reported anosmia with no apparent cause during neurological evaluation. He denied dyspnea, dysphagia or fever. Cervical ultrasound, cranial magnetic resonance imaging, ANA (Antinuclear Factor) exam and anti-SSA (Ro) exam were requested. As a laboratory result, there was ANA = reagent 1/640 and SSA (Ro) = 113.0.
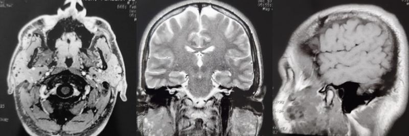
On cervical ultrasound, enlarged parotid glands were observed, especially on the left, with a heterogeneous diffuse texture, characterized by solid-cystic air (predominantly solid) and hypoechoic, affecting the entire parenchyma with diffusely increased flow. Numerous small bilateral diffuse cervical lymph nodes, mainly on the left, with an indeterminate appearance. Magnetic resonance imaging of the skull revealed images suggestive of multiple microcysts in the parotid glands, as shown in figure 1.

Figure 1: Magnetic resonance imaging of the skull, axial, coronal and sagittal sections, showing images suggestive of countless microcysts in both parotid glands.
Thus, in evaluating the imaging exams, there were findings suggestive of chronic sialoadenitis affecting the salivary glands, and it was not possible to rule out a lesion of another nature, with differential diagnoses being chronic parotitis, cystic lesion or even Sjogren's syndrome.
After clinical evaluation, the patient underwent surgical drainage of a left parotid abscess, with a large amount of purulent output, a Penrose drain number 1 was installed, as shown in figure 2, and a prescription for Clavulin 875mg was administered.

Figure 2: Clinical images after surgical drainage of increased volume in the lower third of the face on the left, with milking of a large amount of purulent, suggestive of parotid abscess on the left.
After improvement in clinical condition, the patient was discharged from hospital and maintained outpatient follow-up. On the 14th postoperative day, the patient returned to the outpatient clinic, clinically in good general condition, local appearance healed, without signs of infection, patient without pain complaints, but with bilateral parotid bulging, reporting dry eye and dry mouth. She underwent a Schirmer test, indicative of severe dry eye.
On the 21st postoperative day, the patient had parotid glands in regression of edema, without new episodes of sialoadenitis, using Reuquinol® 400mg/day and Deflazacorte 06mg, 02 times a day, and US of the parotids was requested for control.
One month after the last consultation, the patient returned with an imaging examination (US with a 12.0 MHz linear transducer) of the parotid and submandibular glands. Images suggestive of parotid glands with preserved dimensions, with heterogeneous diffuse echotexture, characterized by solid-cystic (predominantly solid) and hypoechoic areas affecting the entire parenchyma, measuring up to 1.3cm, with preserved flow on Doppler were evident. The submandibular glands were reduced in size with a diffusely heterogeneous echotexture, characterized by solid-cystic (predominantly solid) and hypoechoic areas affecting the entire parenchyma, measuring up to 1.3cm, with preserved Doppler flow.
There was the presence of numerous small bilateral diffuse cervical lymph nodes, especially on the left, with a determined appearance, as shown in figure 3.

Figure 3: Ultrasonography with a 12.0 MHz linear transducer, of the parotid and submandibular glands, bilaterally.
Thus, associating the images suggestive of chronic sialoadenitis affecting the salivary glands, laboratory test ANA = reagent 1/640 and SSA (Ro) = 113.0 and Schirmer test indicative of severe keratoconjunctivitis sicca, the patient was diagnosed with Sjögren’s Disease, receiving local guidelines and being under outpatient follow-up.
Discussion:
To facilitate comparison with other similar case reports previously published, we performed a search in the Pubmed database, using the search strategy (Sjogren's Syndrome[MeSH Terms]) OR ("Sjogrens Syndrome"[Title/Abstract] OR "Syndrome, Sjogren's"[Title/Abstract] OR "Sjogren Syndrome"[Title/Abstract] OR "Sicca Syndrome"[Title/Abstract] OR "Syndrome, Sicca"[Title/Abstract]), Filters applied: Clinical Study, in the last 5 years, English, Male. The algorithm resulted in 83 articles and after complete reading, 53 articles were included. As reasons for exclusion, 23 articles did not address the sex of the patients, 4 discussed systemic autoimmune diseases without specifying SS, 1 article the sample was composed of mice, 1 article was not a case report and 1 article could not be found. Thus, 30 studies were excluded as shown in figure 4.

Figure 4: Flowchart of identifying studies via databases and registries
Of the 53 included in the period, the search revealed 28.162 cases reported in the literature of patients diagnosed with SS, during the period from 2018 to 2023, of which 24.170 were female and only 3.992 were male, resulting in a ratio of 1:6. respectively. The data extracted from the 53 articles, regarding the frequency of females and males, were presented in Graph 1, with the proportion of data, for better graphical visualization, of articles 5, 6, 24, 26, 28, 32, 40, 44, 46, 50.

Graph 1: Representation of the frequency of male and female patients in relation to each article included.
Primary Sjögren’s Disease (pSS) is an autoimmune exocrinopathy mainly of the salivary and lacrimal glands associated with the high prevalence of lymphoma 10, in general, leading to hypofunction of the salivary and lacrimal glands and possible multiorgan systemic manifestations 11.
The salivary glands (SGs) are the sites of production of the anti-SS-A antibody, the typical SS autoantibody, and are the main target organ in the syndrome 3. According to the literature, anti-SS-A antibodies have been detected in approximately 40% of patients, while anti-SS-B antibodies have been detected in approximately 25% of these individuals 6.
It presents with multiple clinical phenotypes that range from mild, limited to exocrine glands, to severe and occasionally life-threatening multisystem disease 10. The salivary glands of patients with pSS are infiltrated by a variety of immune cells, primarily CD4 and CD8 T cells, B cells, and, to a lesser extent, dendritic cells (DCs), monocytes/macrophages, and NK cells12 It is characterized by systemic manifestations that affect several organ systems, serum Ro/SSA autoantibodies 13.
According to the literature, 5% to 10% of all patients with pSS eventually develop B-cell non-Hodgkin lymphoma 14 and mucosa-associated lymphoid tissue (MALT) lymphomas, also known as Extranodal marginal zone B-cell lymphoma (MZL) of the MALT type, are seen as the most common histological type in pSS 15.
Proper diagnosis of SS requires objective evidence of dry eyes and/or objective evidence of dry mouth, as well as proof of autoimmunity 1. According to the international set of classification criteria for primary Sjögren’s Disease (pSS) with the guidelines of the American College of Rheumatology (ACR) and the European League Against Rheumatism (EULAR), classification depends on the weighted sum of the following 5 items:
Individuals (with signs/symptoms suggestive of SS) who have a total score ≥ 4 for the above items meet the criteria for pSS 11.
Despite an extensive search for a clinically effective treatment, to date standard treatment includes only symptomatic treatment with saliva and tear substitutes to alleviate the characteristic symptoms of pSS, severe dryness of the eyes and mouth 16. Current treatments aim to alleviate the symptoms of the disease by treating dry eye with artificial tears and using anti-inflammatories to treat localized and systemic inflammation. In many patients, these treatments show little long-term clinical benefit due to problems with maintaining therapeutic concentrations of the agents on the ocular surface and unwanted side effects 2. Although some treatments can improve symptoms and prevent complications from SS, there is currently no cure. However, the recent development of new therapeutic options for the management of several autoimmune diseases is promising for patients with SS 11.
Hydroxychloroquine (HCQ) is an immunomodulatory drug widely prescribed for this syndrome. The mechanism of action of HCQ in pSS is not fully understood, but it is believed to mediate interference with antigen presentation by altering lysosomal pH and inhibition of toll-like receptor signaling 17. Although HCQ treatment reduced several laboratory parameters (reduced the IFN-I score and reduced the expression levels of several ISGs in whole blood RNA from patients), there were no effects on disease activity regardless of the activation status of the ISG. patient's IFN. This suggests that in pSS, IFN-I is associated with some abnormalities in laboratory parameters, but not with clinical response 18.
Was investigated whether sialendoscopy-assisted irrigation and dilation of strictures in the ducts of the major salivary glands in patients with SS could increase unstimulated total saliva flow (UWSF) and chewing-stimulated total saliva flow (SWSF), as well as improving reported mouthfeel at least 1 year after treatment. They concluded that salivary endoscopy increased salivation and reduced oral dryness up to at least 60 weeks after sialoendoscopy, that is, sialoendoscopy can result in improved salivary flow and reduced perception of oral dryness 19.
Other medications have been studied, including seletalisib, a potent and selective inhibitor of phosphatidylinositol 3-kinase delta (PI3Kδ), which has demonstrated a trend toward clinical improvement in patients with PSS, and PI3Kδ blockade is under evaluation in neoplasms of B cells and autoimmune conditions characterized by aberrant B cell activation 20, 21. Lozenges containing malic acid increased saliva production and relief of xerostomia, resulting in improved quality of life 22. Despite evidence from mechanistic studies that baminercept blocked LTβR signaling, it was shown that baminercept treatment failed to significantly improve glandular and extraglandular disease in patients with primary SS 23.
Evaluating low-level laser therapy (LLLT) with an aluminum-gallium-arsenide laser diode at a wavelength of 808nm, output power of 100 mW, and energy density of 4.0 J/cm² per irradiation point per session, found that there was no difference in salivary levels of beta-2 microglobulin, sodium concentration and chlorine concentration before and after the intervention, resulting in no improvement in xerostomia or salivary flow rate in patients with pSS 24.
Cortisol phosphate was shown to be safe and effective in treating dry eye in patients with Sjogren's Syndrome in both formulations. However, the formula with hyaluronic acid vehicle proved to be more effective. Both formulations were very well tolerated 25.
Cardinal symptoms such as dryness, pain, and fatigue are stronger predictors of impaired health-related quality of life than systemic involvement 26. Thus, new data-driven, consensus response criteria are needed for primary SS studies.
Several autoimmune diseases have been associated with intestinal dysbiosis. There is biological plausibility that intestinal dysbiosis may contribute to immune-mediated dry eye (ED) and other autoimmune diseases. It is well established that the gut microbiome affects systemic inflammation and immunity through the generation of pro-inflammatory effector T cells, e.g. helper T cells, and anti-inflammatory regulatory T cells. The role of Fecal Microbial Transplantation (FMT) in treatment is not so clear. However, given the complexity of FMT, manipulation of the gut microbiome through alternative methods such as prebiotics and probiotics should be explored with specific deficits in the microbiome. Future studies are needed to focus on these lines of investigation 27.
Conclusion:
Sjögren’s Disease is an autoimmune disease that is less common in males. Laboratory tests, together with clinical evaluation, are extremely important for diagnosis. There is a search in the literature for an effective treatment, however, standard treatment includes only symptomatic treatment with saliva and tear substitutes to alleviate the characteristic symptoms.
Conflict Of Interest Statement
The author and all co-authors confirm their agreement with the final declaration that there are no conflicts of interest.