Case Reports International Journal
OPEN ACCESS | Volume 4 - Issue 1 - 2026
ISSN No: 3065-6710 | Journal DOI: 10.61148/ 3065-6710/CRIJ
Suranjan Maitra MD1*, Giridhari Saha MD2, Ananya Mahalanabish MD3, Saikat Mondal MBBS4, Rima Karmakar MBBS5, Sandhya Narzary MBBS6
¹Assistant Professor, Department of Radiotherapy, IPGME&R and SSKM Hospital, Kolkata, West Bengal, India.
2Tutor, Department of Radiotherapy, North Bengal Medical College and Hospital, Siliguri, West Bengal, India.
3Senior Resident, Department of Radiotherapy, Sagardighi Multi Super Speciality Hospital, Sagardighi,
Murshidabad, India.
4Junior Resident, Department of Radiotherapy, R G Kar Medical College and Hospital, Kolkata, India.
5Junior Resident, Department of Radiotherapy, R G Kar Medical College and Hospital, Kolkata, India.
6Junior Resident, Department of Radiotherapy, R G Kar Medical College and Hospital, Kolkata, India.
*Corresponding author: Suranjan Maitra, MD, Assistant Professor, Department of Radiotherapy, IPGME&R and SSKM Hospital, 244 AJC Bose Road, Kolkata, West Bengal, India.
Received: February 10, 2026 | Accepted: February 20, 2026 | Published: February 27, 2026
Citation: Maitra S, Saha G, Mahalanabish A, Mondal S, Karmakar R, Narzary S., (2026). “Non-Gestational Ovarian Choriocarcinoma: A Rare and Aggressive Disease” Case Reports International Journal, 4(1); DOI: 10.61148/3065-6710/CRIJ/032.
Copyright: © 2026 Suranjan Maitra. This is an open access article distributed under the Creative Commons Attribution License, which permits unrestricted use, distribution, and reproduction in any medium, provided the original work is properly cited.
We present a case of a 7-year-old female child who was managed for mixed non-gestational ovarian choriocarcinoma. It is an extremely rare germ cell tumor and quite aggressive in nature. Excision of Left Ovarian Mass with Left Salpingooophorectomy, Metastatectomy (Excision of visible peritoneal mets, mesentery, Omentum, Rectovaginal pouch, Fallopian Tube, Sigmoid colon and Uterus). The child underwent palliative chemotherapy. A stage 4 NGOC has a pretty dismal prognosis.
Resumen: Presentamos el caso de una niña de 7 años tratada por un coriocarcinoma ovárico mixto no gestacional. Se trata de un tumor de células germinales extremadamente raro y de naturaleza bastante agresiva. Se realizó escisión de la masa ovárica izquierda con salpingooforectomía izquierda y metastectomía (escisión de metástasis peritoneales visibles, mesenterio, epiplón, bolsa rectovaginal, trompa de Falopio, colon sigmoide y útero). La niña recibió quimioterapia paliativa. Un coriocarcinoma ovárico mixto en estadio 4 tiene un pronóstico bastante desalentador.
Palabras clave: Coriocarcinoma de ovario no gestacional, Tumor de células germinales, Tumores ováricos raros
Non-Gestational Ovarian Choriocarcinoma, NGOC, Germ cell tumour, Chemotherapy, Rare Ovarian Tumors
Ovarian choriocarcinoma is an extremely rare form of ovarian cancer.[1] It can be broadly classified into two variants, gestational ovarian choriocarcinoma (GOC) and non-gestational ovarian choriocarcinoma (NGOC). NGOC are further subdivided into mixed, which contain other germ cell components, and pure subtypes, which contain only choriocarcinoma. The incidence of GOC is 1:369,000,000 whereas the incidence of NGOC accounts for just 0.6% of malignant ovarian germ cell tumors. [2-6]
This study aimed to describe a case of mixed non-gestational ovarian choriocarcinoma.
Case Report:
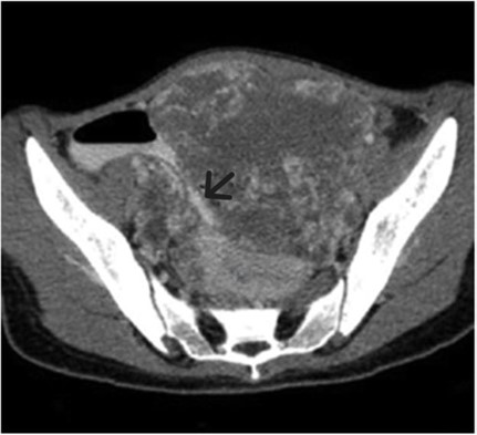
A 7year old prepubertal amenorrhoeic girl presented in March 2023 at our OPD with a history of lower abdominal pain and swelling for past 3 months, which were progressive in nature. She was admitted in the emergencies with a history of Acute Abdomen. CECT of Whole Abdomen done on 20/04/2023, it shows 14x12x9 cm large Heterogeneous enhancing solid lesion in mid, lower abdomen and pelvis compressing the bowel loops with proximal small bowel obstruction. Blood reports on 16/04/2023, AFP- 213, LDH- 2194, BetaHCG- 4145, CA-125: 96.7, CEA- 0.71, CA 19-9: 21.2

Figure 1: CECT scan of Pelvis (preoperative) showing a pelvic SOL compressing Bowel loops (arrow).
She was first managed conservatively and then underwent laparotomy with Cytoreductive intention with Excision of Left Ovarian Mass with Left Salpingo- oophorectomy, Metastatectomy (Excision of visible peritoneal mets, parts of mesentery, Omentum, Rectovaginal pouch, Fallopian Tube (Left), part of Sigmoid colon) on 21/04/2023 and all were sent for histopathological examination.
The post operative period was uneventful and she recovered well.
Grossly the tumor was hemorrhagic and necrotic. Histopathological examination revealed a thin rim of ovarian parenchyma with a tumor revealing wide areas of hemorrhage, necrosis with intervening solid sheets as well as peripheral riming of tumor cells around hemorrhagic and necrotic foci. The malignant cells were of four components: Yolk sac tumor (60%), immature teratoma (20%), dysgerminoma (18%) and choriocarcinoma (2%).

Figure 2: Histopathology of the tumour showing (A) Yolk sac, (B) Immature Teratoma, (C) Dysgerminoma and (D) Choriocarcinoma
Immunohistological Report (26/04/2023) from the FFPE block showed SALL4 and CK Positive for Yolk Sac Component; OCT3/4, D240 and C-KIT weak positive in Dysgerminoma component.

Figure 3: MRI brain (sagittal view) showing calverial metastasis
On Post operative evaluation, CECT THORAX on 21/5/23 did not reveal any obvious lesion. CECT Brain on 9/5/23, showed an Extra calvarial nonenhancing mild soft tissue swelling in right occipital (16X8mm) and mild bony erosion adjacent to soft tissue swelling. CECT whole Abdomen on 21/5/23 showed a Left paraaortic nodal mass(30x22mm) with Multiple vertebral and pelvic bony metastatic lesions, mild right hydronephrosis and bowel distension Considering a metastatic disease, she was then planned for multiagent chemotherapy. Unfortunately, the patient was lost to follow up for around 2 months.

Figure 4: CECT whole abdomen (axial view), Postoperative (after few months of defaulter) showing huge intraabdominal SOL almost occupying whole abdomen.
Then she again presented with huge abdominal distension and was unable to walk. She was again evaluated for the disease status. The Blood parameters, as on 01/08/2023, were: BetaHCG -> 96120 mIU/ml, CA-125 –> 207.5 U/ml, Sr LDH -> 4180 U/L, AFP –> more than 1000 ng/ml. CECT scan Thorax and Abdomen on 07.08.2023 showed, Large heterogenous enhancing SOL of 8.1 x 6.3 x 6.1 CM in POD, invading and incaving the ano-rectum region with bilateral pleural effusion.

Figure 5: CECT whole abdomen (sagittal view), Postoperative (after few months of defaulter) showing huge intraabdominal SOL almost occupying whole abdomen along with multiple vertebral metastases
Patient was planned for Chemotherapy as per decision made in the previous Tumor Board with EP regimen with Inj. Etoposide (90mg) D1, D2, D3 and Inj Carboplatin (300mg) in D1 IV
Chemotherapy was started on 08.08.2023, but was inadvertently stopped after an infusion of only 20 ml of INJ ETOPOSIDE (Inj Etoposide 90mg was dissolved in 500ml NS) due to sudden onset severe respiratory distress and hypertension. She was then shifted to Pediatric Intensive care unit (PICU). She was managed effectively with the help of Pulmonologists and CardioThoracic surgeons. After stabilization 1st cycle of the planned regimen of the Chemotherapy was administered under PICU setup on 11.08.2023 with a very high risk informed consent. She was then stepped down to HDU and then to general ward with improving vitals.

Figure 6: Presentation of the said patient initially after few months of defaulter (bottom) and after inital 2cycles of Chemotherapy with improved symptoms (top)
She had completed another 2 cycles of Etoposide and Carboplatin in due course till October 2023. She was improving gradually both symptomatically as well as biochemically, though the AFP level was persistently high.

Figure 7: Chronological order of Tumour markers
During this period of time there is reduction of body weight about 9 kg which was mainly due to regression of the tumour and ascitic fluids. Her ECOG PS also had improved along with blood level markers changes as:
But after the 3rd cycle, on follow up she developed recurrent infection, scar line tenderness, on examination a large pedunculated mass was found to be coming out per vagina.

Figure 8: Disease progression with per vaginum
MRI pelvis done on 01.11.23 showed Large lobulated solid space occupying lesions with multiple small cystic areas is seen filling the entire cavity. The lesion is displacing the urinary bladder anteriorly and encasing recto sigmoid colon. The SOL is extending externally through the vaginal canal. The visualized pelvic bones show diffuse altered marrow signal intensity.
She was then shifted to Gynecology Department where excisional Biopsy taken on 14/11/23, but histopathological examination showed only scattered necrosis and few atypical cells.
On further quick deterioration we lost her on 16.11.2023
Discussion:
Choriocarcinoma are the most aggressive form of gestational trophoblastic diseases owing to their rapid growth and metastatic potential. Choriocarcinoma of the ovary can be broadly either gestational (GOC) or nongestational (NGOC) type. Furthermore, the NGOC can be of Pure or mixed variant. Unlike the pure NGOC, in case of Mixed variant, other than choriocarcinoma component, there would be presence of other types of germ cell tumours like, Yolk-sac tumor, teratoma, dysgerminoma etc.
Gestational ovarian Choriocarcinoma is a form of gestational choriocarcinoma and related to a patient’s previous pregnancy history and may exist concurrently with a well-developed corpus luteum, with cure rates approaching 90% with single agent chemotherapy, typically methotrexate. [7]
NGOCs are unrelated to pregnancy, and DNA analysis demonstrates the absence of any paternal genes [8–10]. NGOCs often occur in children and young adults, arising from midline structures that form during embryogenesis or primordial germ cells in the gonads after birth and demonstrate trophoblastic differentiation [8,11,12]. It has also been proposed that NGOCs arise from “retrodifferentiation” to an earlier embryonic cell stage of somatic tumors that have already undergone neoplastic transformation [13].
NGOCs are characterized by rapid growth and a relatively poor prognosis; overall survival of International Federation of Gynecology and Obstetrics (FIGO) stage I, II, and III disease is 100% over 3 years, with the survival rate of FIGO IV disease dropping to just 25% at 3 years. When divided into pure and mixed NGOC tumors, the former has a 94% overall survival while the latter have just 50% overall survival at 3 years. [14]
As these tumors are rare, treatment recommendations for primary extraovarian, nongestational choriocarcinoma are not available. NGOC is more closely related to germ cell tumors and as such should be treated with platinum-based chemotherapy. Single agent choriocarcinoma treatments are ineffective in these cases. The treatment most used in case reports was BEP, although remission has also successfully been achieved with EMA/EMA-CO. Three cycles of BEP appear to be adequate for patients that had localized disease; however, with more advanced or bulky disease, four cycles may be used. [1]
Close monitoring should be in place to allow for early recognition and urgent treatment of rapidly fatal disease complications such as a ovarian hyperstimulation syndrome and choriocarcinoma syndrome is imperative. Multimodal supportive therapy should be initiated promptly upon recognition. When appropriate, lower-dose chemotherapeutic regimens may be considered if a patient is thought to be at risk for developing choriocarcinoma syndrome.
But in our case, as the patient’s performance status was too poor to start with Methotrexate based multiagent chemotherapy like EMA-CO, we started with Etoposide and Carboplatin combination which she tolerated well. Though the patient responded initially well but after the 3rd cycle there was very fast progression of the disease and ultimate she had succumbed.
Conclusion:
NGOC is a distinct and rare disease from the more common GOC. NGOC is a rare and highly aggressive cancer, timely intervention and chemotherapy may be helpful in improving overall and progression free survival. Despite the extremely low incidence of pure non-gestational choriocarcinoma, there is sufficient evidence in literature that cytoreductive surgery in combination with post-operative chemotherapy may be an effective therapeutic strategy for ovarian choriocarcinomas. Though non-gestational choriocarcinoma has been shown to have a worse prognosis, there are also reported cases of complete response of the tumour. Although in the present case, despite the management and consultation with an experienced team and due to several areas of the tumor's involvement, the patient could not be saved. Stage IV non-gestational ovarian choriocarcinoma is a very aggressive tumor. Regardless of the nature of the tumor, the response to treatment may not be good. Indeed, the treatment of each case should be individualized.